O nas
Centrum Urody i Uśmiechu Stylove w Raciborzu (ul. Kozielska 37) to miejsce, w którym zadbasz o piękny wygląd i doskonałe samopoczucie. Nasz salon łączy nowoczesne zabiegi z profesjonalnym podejściem do każdej Klientki.
Specjalizujemy się w:
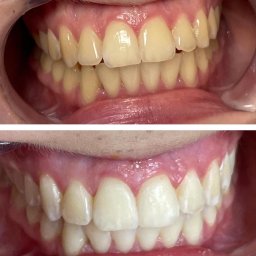
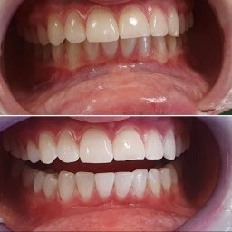
profesjonalnym wybielaniu zębów – skuteczne wybielanie zębów gwarantujące olśniewający, biały uśmiech,
medycynie estetycznej – naturalne powiększanie ust i zabiegi podkreślające Twoje piękno,
opalaniu natryskowym – zdrowe opalanie bez ryzyka dla skóry, równomierna i naturalna opalenizna przez cały rok,
stylizacji paznokci – trwały manicure i pedicure,
stylizacji rzęs – zagęszczanie i przedłużanie rzęs dla hipnotyzującego spojrzenia,
makijażu permanentnym – trwałe podkreślenie brwi, ust i oczu.
W Stylove pracują doświadczone specjalistki:
Dorota – ekspertka w wybielaniu zębów, medycynie estetycznej i opalaniu natryskowym,
Marzena – stylistka paznokci, rzęs oraz makijażu permanentnego.
Dlaczego warto wybrać nasz salon?
✔ skuteczne i bezpieczne wybielanie zębów w Raciborzu,
✔ biały uśmiech już po pierwszej wizycie,
✔ naturalne i zdrowe opalanie natryskowe,
✔ indywidualne podejście do każdej Klientki,
✔ kameralna atmosfera i najwyższa jakość usług.
Jeśli marzysz o olśniewającym uśmiechu, pięknych ustach i zdrowej opaleniźnie – odwiedź Centrum Urody i Uśmiechu Stylove w Raciborzu.
📍 Znajdziesz nas pod adresem: Racibórz, ul. Kozielska 37
📞 Umów się już dziś i odkryj swoje piękno na nowo!
Specjalizujemy się w:
profesjonalnym wybielaniu zębów – skuteczne wybielanie zębów gwarantujące olśniewający, biały uśmiech,
medycynie estetycznej – naturalne powiększanie ust i zabiegi podkreślające Twoje piękno,
opalaniu natryskowym – zdrowe opalanie bez ryzyka dla skóry, równomierna i naturalna opalenizna przez cały rok,
stylizacji paznokci – trwały manicure i pedicure,
stylizacji rzęs – zagęszczanie i przedłużanie rzęs dla hipnotyzującego spojrzenia,
makijażu permanentnym – trwałe podkreślenie brwi, ust i oczu.
W Stylove pracują doświadczone specjalistki:
Dorota – ekspertka w wybielaniu zębów, medycynie estetycznej i opalaniu natryskowym,
Marzena – stylistka paznokci, rzęs oraz makijażu permanentnego.
Dlaczego warto wybrać nasz salon?
✔ skuteczne i bezpieczne wybielanie zębów w Raciborzu,
✔ biały uśmiech już po pierwszej wizycie,
✔ naturalne i zdrowe opalanie natryskowe,
✔ indywidualne podejście do każdej Klientki,
✔ kameralna atmosfera i najwyższa jakość usług.
Jeśli marzysz o olśniewającym uśmiechu, pięknych ustach i zdrowej opaleniźnie – odwiedź Centrum Urody i Uśmiechu Stylove w Raciborzu.
📍 Znajdziesz nas pod adresem: Racibórz, ul. Kozielska 37
📞 Umów się już dziś i odkryj swoje piękno na nowo!
4 miesiące w Oferteo
Opinie
Wykonawca nie ma jeszcze opinii.
Specjaliści z Twojej okolicy
Co chcesz zlecić lub kupić?
Wybierz usługę, której potrzebujesz, aby złożyć zapytanie:
Ochrona zdrowia
Medycyna estetyczna
Usługi kosmetyczne i fryzjerskie
Zabiegi kosmetyczne dłoni i stóp
Zabiegi kosmetyczne ciała i twarzy
Zabiegi kosmetyczne twarzy
Zabiegi kosmetyczne ciała
Powiązane produkty i usługi:
Akupunktura, Chirurg, Dietetyk, Fizjoterapeuta, Fryzjer, Masaż Racibórz, Rehabilitant Racibórz, Stylista Racibórz, Stylista fryzur Racibórz, Trener personalny Racibórz
O Firmie
Adres
Ulica
Kozielska 37Kod pocztowy
47-400Miasto
RacibórzGodziny pracy
Brak informacji
Preferowana forma kontaktu
e-mail, telefon
Obszar działania
Śląskie